Cough Causing Abdominal Pain? A Rapid POCUS Diagnosis of Rectus Sheath Hematoma.

POCUS journal Pub Date : 2023-11-27 eCollection Date: 2023-01-01 DOI:10.24908/pocus.v8i2.16500
William Noel, Brian B Donahue
{"title":"Cough Causing Abdominal Pain? A Rapid POCUS Diagnosis of Rectus Sheath Hematoma.","authors":"William Noel, Brian B Donahue","doi":"10.24908/pocus.v8i2.16500","DOIUrl":null,"url":null,"abstract":"<p><p>We present a case of a 59-year-old man who arrived to the emergency department with abdominal pain and bruising after coughing. Point of care ultrasound (POCUS) was used to make the diagnosis of rectus sheath hematoma (RSH). This diagnosis was made within minutes of arrival to the ED and subsequently confirmed on computed tomography (CT) of the abdomen. As abdominal ultrasound is a technically straightforward imaging technique which includes a sensitivity that rises about 90%, its utilization to identify rectus sheath hematoma can reduce the rate of CT imaging and time to diagnosis for this pathology.</p>","PeriodicalId":74470,"journal":{"name":"POCUS journal","volume":"8 2","pages":"121-123"},"PeriodicalIF":0.0000,"publicationDate":"2023-11-27","publicationTypes":"Journal Article","fieldsOfStudy":null,"isOpenAccess":false,"openAccessPdf":"https://www.ncbi.nlm.nih.gov/pmc/articles/PMC10721295/pdf/","citationCount":"0","resultStr":null,"platform":"Semanticscholar","paperid":null,"PeriodicalName":"POCUS journal","FirstCategoryId":"1085","ListUrlMain":"https://doi.org/10.24908/pocus.v8i2.16500","RegionNum":0,"RegionCategory":null,"ArticlePicture":[],"TitleCN":null,"AbstractTextCN":null,"PMCID":null,"EPubDate":"2023/1/1 0:00:00","PubModel":"eCollection","JCR":"","JCRName":"","Score":null,"Total":0}
引用次数: 0

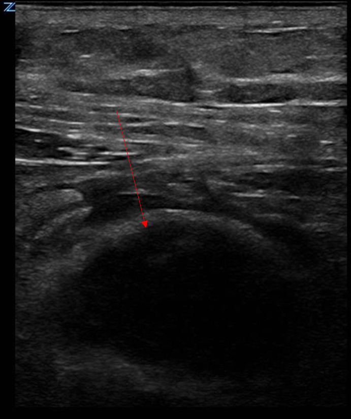
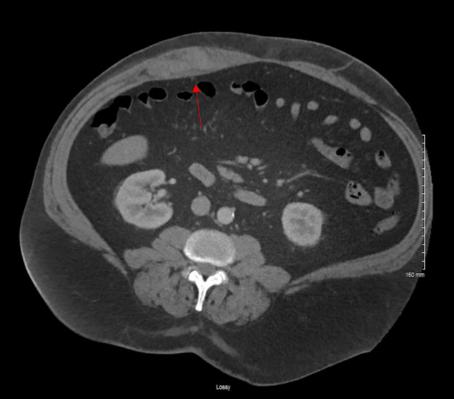
Abstract

We present a case of a 59-year-old man who arrived to the emergency department with abdominal pain and bruising after coughing. Point of care ultrasound (POCUS) was used to make the diagnosis of rectus sheath hematoma (RSH). This diagnosis was made within minutes of arrival to the ED and subsequently confirmed on computed tomography (CT) of the abdomen. As abdominal ultrasound is a technically straightforward imaging technique which includes a sensitivity that rises about 90%, its utilization to identify rectus sheath hematoma can reduce the rate of CT imaging and time to diagnosis for this pathology.

Abstract Image

Abstract Image

Abstract Image

咳嗽引起腹痛?直肠鞘血肿的快速 POCUS 诊断。
我们报告了一例 59 岁男子的病例,他因咳嗽后腹痛和瘀伤来到急诊科就诊。急诊超声检查(POCUS)确诊为直肠鞘血肿(RSH)。该诊断是在患者到达急诊室后几分钟内做出的,随后经腹部计算机断层扫描(CT)确诊。由于腹部超声是一种技术简单的成像技术,灵敏度高达 90%,因此利用它来识别直肠鞘血肿可以降低 CT 成像率,缩短诊断时间。
本文章由计算机程序翻译,如有差异,请以英文原文为准。
求助全文
约1分钟内获得全文 求助全文
来源期刊
自引率
0.00%
发文量
0
×
引用
GB/T 7714-2015
复制
MLA
复制
APA
复制
导出至
BibTeX EndNote RefMan NoteFirst NoteExpress
×
提示
您的信息不完整,为了账户安全,请先补充。
现在去补充
×
提示
您因"违规操作"
具体请查看互助需知
我知道了
×
提示
确定
请完成安全验证×
copy
已复制链接
快去分享给好友吧!
我知道了
右上角分享
点击右上角分享
0
联系我们:info@booksci.cn Book学术提供免费学术资源搜索服务,方便国内外学者检索中英文文献。致力于提供最便捷和优质的服务体验。 Copyright © 2023 布克学术 All rights reserved.
京ICP备2023020795号-1
ghs 京公网安备 11010802042870号
Book学术文献互助
Book学术文献互助群
群 号:604180095
Book学术官方微信