Elevated Homocysteine Level and Brain Atrophy Changes as Markers to Screen the Alzheimer Disease: Case Series.

IF 3.2 Q3 GERIATRICS & GERONTOLOGY
Annals of Geriatric Medicine and Research Pub Date : 2024-03-01 Epub Date: 2023-12-13 DOI:10.4235/agmr.23.0135
Ram Prakash Sah, C S Vidya, Pratibha Pereira, Shubha Jayaram, Anshu Kumar Yadav, P Sujatha
{"title":"Elevated Homocysteine Level and Brain Atrophy Changes as Markers to Screen the Alzheimer Disease: Case Series.","authors":"Ram Prakash Sah, C S Vidya, Pratibha Pereira, Shubha Jayaram, Anshu Kumar Yadav, P Sujatha","doi":"10.4235/agmr.23.0135","DOIUrl":null,"url":null,"abstract":"<p><p>Alzheimer disease (AD) is the most common cause of dementia worldwide. Its clinical manifestations include a progressive loss of memory and other cognitive domains, as well as brain atrophy. An elevated homocysteine level (&gt;15 µmol/L), known as hyperhomocysteinemia, is also an attributing risk factor for AD, vascular pathologies, and brain atrophy. Neuroimaging studies including T2-weighted magnetic resonance imaging scans revealed white matter hyperintensities in the periventricular and deep white matter, enlarged ventricles, widened sulci, and decreased white matter mass, which are features of aging, as well as cerebrovascular changes. This case series investigated changes in biochemical marker levels including serum homocysteine, folate, and vitamin B12, and the degree of atrophic variations in cortical-subcortical white matter in AD. The present study hypothesized that serum homocysteine levels might be used as a surrogate marker to screen for AD at an earlier stage.</p>","PeriodicalId":44729,"journal":{"name":"Annals of Geriatric Medicine and Research","volume":" ","pages":"116-120"},"PeriodicalIF":3.2000,"publicationDate":"2024-03-01","publicationTypes":"Journal Article","fieldsOfStudy":null,"isOpenAccess":false,"openAccessPdf":"https://www.ncbi.nlm.nih.gov/pmc/articles/PMC10982442/pdf/","citationCount":"0","resultStr":null,"platform":"Semanticscholar","paperid":null,"PeriodicalName":"Annals of Geriatric Medicine and Research","FirstCategoryId":"1085","ListUrlMain":"https://doi.org/10.4235/agmr.23.0135","RegionNum":0,"RegionCategory":null,"ArticlePicture":[],"TitleCN":null,"AbstractTextCN":null,"PMCID":null,"EPubDate":"2023/12/13 0:00:00","PubModel":"Epub","JCR":"Q3","JCRName":"GERIATRICS & GERONTOLOGY","Score":null,"Total":0}
引用次数: 0

Abstract

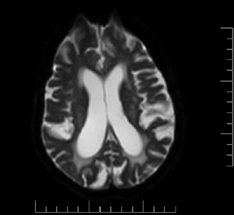
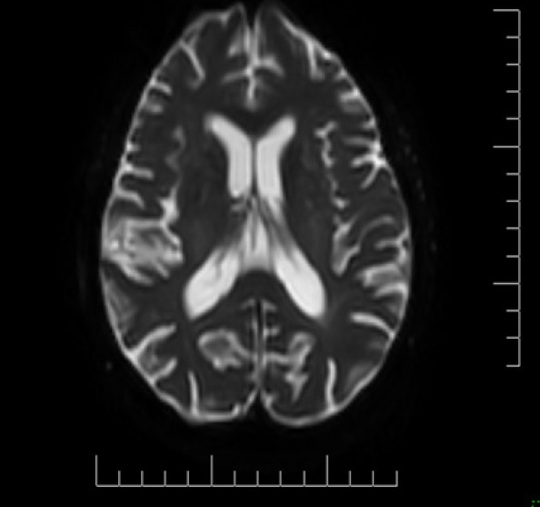
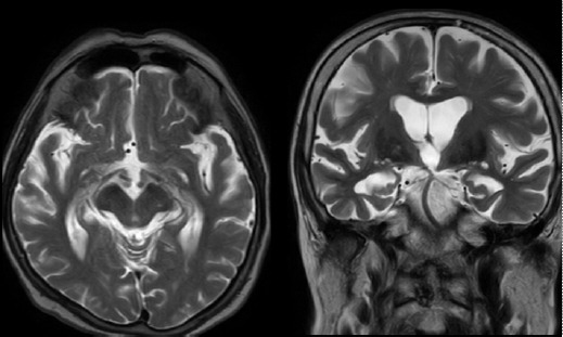
Alzheimer disease (AD) is the most common cause of dementia worldwide. Its clinical manifestations include a progressive loss of memory and other cognitive domains, as well as brain atrophy. An elevated homocysteine level (>15 µmol/L), known as hyperhomocysteinemia, is also an attributing risk factor for AD, vascular pathologies, and brain atrophy. Neuroimaging studies including T2-weighted magnetic resonance imaging scans revealed white matter hyperintensities in the periventricular and deep white matter, enlarged ventricles, widened sulci, and decreased white matter mass, which are features of aging, as well as cerebrovascular changes. This case series investigated changes in biochemical marker levels including serum homocysteine, folate, and vitamin B12, and the degree of atrophic variations in cortical-subcortical white matter in AD. The present study hypothesized that serum homocysteine levels might be used as a surrogate marker to screen for AD at an earlier stage.

Abstract Image

Abstract Image

Abstract Image

同型半胱氨酸水平升高和脑萎缩变化是筛查阿尔茨海默病的标志--病例系列。
阿尔茨海默病(AD)是全球最常见的痴呆症病因。其临床表现包括记忆力和其他认知能力的逐渐丧失,以及脑萎缩。同型半胱氨酸水平升高(>15 µmol/L),即高同型半胱氨酸血症,也是导致老年痴呆症、血管病变和脑萎缩的一个危险因素。包括 T2 加权磁共振成像(MRI)扫描在内的神经影像学研究显示,脑室周围和深部白质中存在白质高密度(WMH),脑室扩大,脑沟增宽,白质质量减少,这些都是衰老以及脑血管变化的特征。本系列病例研究了 AD 患者血清同型半胱氨酸、叶酸和维生素 B12 等生化标志物水平的变化,以及皮质-皮质下白质萎缩变异的程度。本研究假设,大脑中的血清同型半胱氨酸水平可作为一种替代标志物,用于早期筛查 AD。
本文章由计算机程序翻译,如有差异,请以英文原文为准。
求助全文
约1分钟内获得全文 求助全文
来源期刊
Annals of Geriatric Medicine and Research
Annals of Geriatric Medicine and Research GERIATRICS & GERONTOLOGY-
CiteScore
4.90
自引率
11.10%
发文量
35
审稿时长
4 weeks
×
引用
GB/T 7714-2015
复制
MLA
复制
APA
复制
导出至
BibTeX EndNote RefMan NoteFirst NoteExpress
×
提示
您的信息不完整,为了账户安全,请先补充。
现在去补充
×
提示
您因"违规操作"
具体请查看互助需知
我知道了
×
提示
确定
请完成安全验证×
copy
已复制链接
快去分享给好友吧!
我知道了
右上角分享
点击右上角分享
0
联系我们:info@booksci.cn Book学术提供免费学术资源搜索服务,方便国内外学者检索中英文文献。致力于提供最便捷和优质的服务体验。 Copyright © 2023 布克学术 All rights reserved.
京ICP备2023020795号-1
ghs 京公网安备 11010802042870号
Book学术文献互助
Book学术文献互助群
群 号:604180095
Book学术官方微信