Immunosuppressive treatment for myasthenia gravis crises improve the taste disorder in patients with thymoma: two case reports.

Mediastinum (Hong Kong, China) Pub Date : 2023-08-07 eCollection Date: 2023-01-01 DOI:10.21037/med-23-8
Koichi Fukumoto, Yuko Ohara, Shoji Okado, Hiroki Watanabe, Osamu Noritake, Keita Nakanishi, Yuka Kadomatsu, Harushi Ueno, Taketo Kato, Shota Nakamura, Toyofumi Fengshi Chen-Yoshikawa
{"title":"Immunosuppressive treatment for myasthenia gravis crises improve the taste disorder in patients with thymoma: two case reports.","authors":"Koichi Fukumoto, Yuko Ohara, Shoji Okado, Hiroki Watanabe, Osamu Noritake, Keita Nakanishi, Yuka Kadomatsu, Harushi Ueno, Taketo Kato, Shota Nakamura, Toyofumi Fengshi Chen-Yoshikawa","doi":"10.21037/med-23-8","DOIUrl":null,"url":null,"abstract":"<p><strong>Background: </strong>Taste disorders in patients with thymoma accompanied by myasthenia gravis (MG) is rare.</p><p><strong>Case description: </strong>The first case was a male in his 50s who underwent surgery for Masaoka stage III type B3 thymoma. He experienced a loss of taste before surgery, which showed no improvement after surgery. Due to a MG crisis 44 days after surgery, the patient underwent intensive treatment with mechanical ventilation, steroid pulse therapy, and intravenous immunoglobulin (IVIG) therapy. The patient recovered taste when he started oral food intake after the treatment for the MG crisis (about 3 months after surgery). Despite the recovery of taste after steroid pulse therapy and IVIG therapy, taste disorder gradually worsened about 1 year and 9 months after surgery, resulting in an almost complete loss of sweet taste 2 years after surgery. The second case was a male in his 60s who underwent surgery for Masaoka stage II type B1 thymoma. He experienced loss of taste before surgery, which showed no improvement after surgery. Five years and two months after surgery, the patient was diagnosed with a MG crisis and underwent steroid pulse therapy. Along with improvements in MG symptoms, taste disorders gradually improved. After 6 years and 10 months of surgery, the patient is still alive without MG symptoms (only pyridostigmine, 180 mg/body/day), taste disorder, and thymoma recurrence.</p><p><strong>Conclusions: </strong>The autoimmune mechanism may contribute to taste disorders in patients with thymoma, which can be recovered by immunosuppressive treatment in our cases.</p>","PeriodicalId":74139,"journal":{"name":"Mediastinum (Hong Kong, China)","volume":"7 ","pages":"40"},"PeriodicalIF":0.0000,"publicationDate":"2023-08-07","publicationTypes":"Journal Article","fieldsOfStudy":null,"isOpenAccess":false,"openAccessPdf":"https://www.ncbi.nlm.nih.gov/pmc/articles/PMC10713234/pdf/","citationCount":"0","resultStr":null,"platform":"Semanticscholar","paperid":null,"PeriodicalName":"Mediastinum (Hong Kong, China)","FirstCategoryId":"1085","ListUrlMain":"https://doi.org/10.21037/med-23-8","RegionNum":0,"RegionCategory":null,"ArticlePicture":[],"TitleCN":null,"AbstractTextCN":null,"PMCID":null,"EPubDate":"2023/1/1 0:00:00","PubModel":"eCollection","JCR":"","JCRName":"","Score":null,"Total":0}
引用次数: 0

Abstract

Background: Taste disorders in patients with thymoma accompanied by myasthenia gravis (MG) is rare.

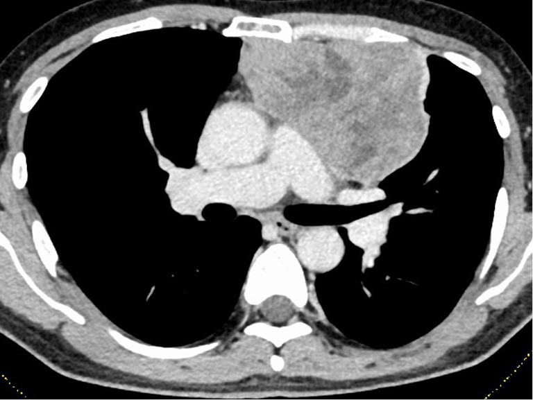
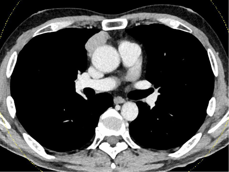
Case description: The first case was a male in his 50s who underwent surgery for Masaoka stage III type B3 thymoma. He experienced a loss of taste before surgery, which showed no improvement after surgery. Due to a MG crisis 44 days after surgery, the patient underwent intensive treatment with mechanical ventilation, steroid pulse therapy, and intravenous immunoglobulin (IVIG) therapy. The patient recovered taste when he started oral food intake after the treatment for the MG crisis (about 3 months after surgery). Despite the recovery of taste after steroid pulse therapy and IVIG therapy, taste disorder gradually worsened about 1 year and 9 months after surgery, resulting in an almost complete loss of sweet taste 2 years after surgery. The second case was a male in his 60s who underwent surgery for Masaoka stage II type B1 thymoma. He experienced loss of taste before surgery, which showed no improvement after surgery. Five years and two months after surgery, the patient was diagnosed with a MG crisis and underwent steroid pulse therapy. Along with improvements in MG symptoms, taste disorders gradually improved. After 6 years and 10 months of surgery, the patient is still alive without MG symptoms (only pyridostigmine, 180 mg/body/day), taste disorder, and thymoma recurrence.

Conclusions: The autoimmune mechanism may contribute to taste disorders in patients with thymoma, which can be recovered by immunosuppressive treatment in our cases.

Abstract Image

Abstract Image

针对重症肌无力危象的免疫抑制治疗可改善胸腺瘤患者的味觉障碍:两份病例报告。
背景:胸腺瘤伴发肌无力(MG)的患者出现味觉障碍的情况非常罕见:第一个病例是一名 50 多岁的男性,因正冈 III 期 B3 型胸腺瘤接受了手术。他在手术前出现味觉减退,术后未见好转。由于术后 44 天出现 MG 危机,患者接受了机械通气、类固醇脉冲疗法和静脉注射免疫球蛋白(IVIG)的强化治疗。MG 危机治疗后(术后约 3 个月),患者开始口服食物,味觉也随之恢复。尽管经过类固醇脉冲治疗和静脉注射免疫球蛋白治疗后味觉有所恢复,但术后约 1 年 9 个月味觉障碍逐渐加重,导致术后 2 年几乎完全丧失甜味。第二个病例是一名 60 多岁的男性,因正冈二期 B1 型胸腺瘤接受了手术。他在手术前出现味觉丧失,术后没有任何改善。术后五年零两个月,患者被诊断为 MG 危象,并接受了类固醇脉冲治疗。随着 MG 症状的改善,味觉障碍也逐渐好转。手术 6 年零 10 个月后,患者仍然存活,没有出现 MG 症状(仅有吡啶斯的明,180 毫克/体/天)、味觉障碍和胸腺瘤复发:自身免疫机制可能是导致胸腺瘤患者味觉障碍的原因之一,在我们的病例中,免疫抑制治疗可使患者恢复味觉障碍。
本文章由计算机程序翻译,如有差异,请以英文原文为准。
求助全文
约1分钟内获得全文 求助全文
来源期刊
CiteScore
1.20
自引率
0.00%
发文量
0
×
引用
GB/T 7714-2015
复制
MLA
复制
APA
复制
导出至
BibTeX EndNote RefMan NoteFirst NoteExpress
×
提示
您的信息不完整,为了账户安全,请先补充。
现在去补充
×
提示
您因"违规操作"
具体请查看互助需知
我知道了
×
提示
确定
请完成安全验证×
copy
已复制链接
快去分享给好友吧!
我知道了
右上角分享
点击右上角分享
0
联系我们:info@booksci.cn Book学术提供免费学术资源搜索服务,方便国内外学者检索中英文文献。致力于提供最便捷和优质的服务体验。 Copyright © 2023 布克学术 All rights reserved.
京ICP备2023020795号-1
ghs 京公网安备 11010802042870号
Book学术文献互助
Book学术文献互助群
群 号:604180095
Book学术官方微信