The clinical, radiological, and surgical characteristics of anterior perforated substance glioma: a retrospective study.

Q2 Medicine
Zhiliang Wang, Lianwang Li, Zheng Wang, Xuzhu Chen, Zhong Zhang
{"title":"The clinical, radiological, and surgical characteristics of anterior perforated substance glioma: a retrospective study.","authors":"Zhiliang Wang, Lianwang Li, Zheng Wang, Xuzhu Chen, Zhong Zhang","doi":"10.1186/s41016-023-00349-w","DOIUrl":null,"url":null,"abstract":"<p><strong>Background: </strong>To explore the clinical, radiological, and surgical characteristics of anterior perforated substance (APS) gliomas.</p><p><strong>Methods: </strong>Twenty patients with APS glioma who were treated with surgery between March 2019 and January 2022 from Tiantan hospital were retrospectively reviewed. The clinical, histological and radiological data were collected.</p><p><strong>Results: </strong>Twenty patients, including 7 males (55%) and 13 females (45%), with a mean age at diagnosis of 37.9 years (range, 28-53 years) underwent operative intervention for APS. Headaches and dizziness were the most common preoperative symptoms in the majority patients (14, 70%). Based on radiological features of MRI, the APS was classified into two subtypes, type A and type B. Seven patients (40%) in type A indicated a clear tumor margin, while 13 patients (60%) in type B showed an ill-defined margin. The surgical approach including frontal, temporal, and coronal frontal incisions for type A and type B tumors, respectively. Three patients in type A received total resection, while one patient in type B were total resected. Pathologically, 12 cases (60%, 12/20) were diagnosed as astrocytoma and 8 cases (20%, 8/20) were oligodendroglioma. Meanwhile, 17 cases (85%, 17/20) had MGMT promotor methylation.</p><p><strong>Conclusion: </strong>In this study, we performed the first systematic research of patients with APS glioma. Most of patients with APS presented headaches and dizziness symptoms. The APS glioma was further divided into two major radiological subtypes with relevant different surgical approaches. The APS glioma in type A were more likely to receive total resection.</p>","PeriodicalId":36700,"journal":{"name":"Chinese Neurosurgical Journal","volume":"9 1","pages":"36"},"PeriodicalIF":0.0000,"publicationDate":"2023-12-19","publicationTypes":"Journal Article","fieldsOfStudy":null,"isOpenAccess":false,"openAccessPdf":"https://www.ncbi.nlm.nih.gov/pmc/articles/PMC10729556/pdf/","citationCount":"0","resultStr":null,"platform":"Semanticscholar","paperid":null,"PeriodicalName":"Chinese Neurosurgical Journal","FirstCategoryId":"3","ListUrlMain":"https://doi.org/10.1186/s41016-023-00349-w","RegionNum":0,"RegionCategory":null,"ArticlePicture":[],"TitleCN":null,"AbstractTextCN":null,"PMCID":null,"EPubDate":"","PubModel":"","JCR":"Q2","JCRName":"Medicine","Score":null,"Total":0}
引用次数: 0

Abstract

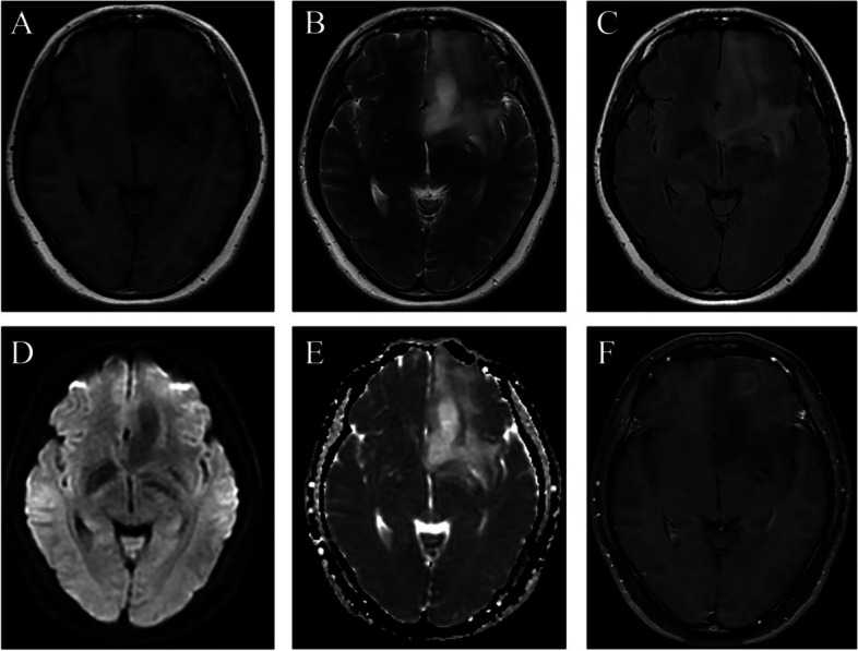
Background: To explore the clinical, radiological, and surgical characteristics of anterior perforated substance (APS) gliomas.

Methods: Twenty patients with APS glioma who were treated with surgery between March 2019 and January 2022 from Tiantan hospital were retrospectively reviewed. The clinical, histological and radiological data were collected.

Results: Twenty patients, including 7 males (55%) and 13 females (45%), with a mean age at diagnosis of 37.9 years (range, 28-53 years) underwent operative intervention for APS. Headaches and dizziness were the most common preoperative symptoms in the majority patients (14, 70%). Based on radiological features of MRI, the APS was classified into two subtypes, type A and type B. Seven patients (40%) in type A indicated a clear tumor margin, while 13 patients (60%) in type B showed an ill-defined margin. The surgical approach including frontal, temporal, and coronal frontal incisions for type A and type B tumors, respectively. Three patients in type A received total resection, while one patient in type B were total resected. Pathologically, 12 cases (60%, 12/20) were diagnosed as astrocytoma and 8 cases (20%, 8/20) were oligodendroglioma. Meanwhile, 17 cases (85%, 17/20) had MGMT promotor methylation.

Conclusion: In this study, we performed the first systematic research of patients with APS glioma. Most of patients with APS presented headaches and dizziness symptoms. The APS glioma was further divided into two major radiological subtypes with relevant different surgical approaches. The APS glioma in type A were more likely to receive total resection.

Abstract Image

Abstract Image

Abstract Image

前穿孔物质胶质瘤的临床、放射学和手术特征:一项回顾性研究。
背景:探讨前穿孔物质胶质瘤(APS)的临床、放射学和手术特点:探讨前穿孔物质(APS)胶质瘤的临床、影像学和手术特点:回顾性分析天坛医院2019年3月至2022年1月期间手术治疗的20例APS胶质瘤患者。收集临床、组织学和放射学资料:20名患者,包括7名男性(55%)和13名女性(45%),确诊时平均年龄为37.9岁(28-53岁)。大多数患者(14 人,70%)术前最常见的症状是头痛和头晕。根据核磁共振成像的放射学特征,APS被分为A型和B型两个亚型。A型中有7名患者(40%)的肿瘤边缘清晰,而B型中有13名患者(60%)的肿瘤边缘不清晰。A 型和 B 型肿瘤的手术方法分别包括额部切口、颞部切口和额部冠状切口。A 型患者中有 3 人接受了全切,B 型患者中有 1 人接受了全切。病理诊断结果显示,12 例(60%,12/20)为星形细胞瘤,8 例(20%,8/20)为少突胶质细胞瘤。同时,17 例(85%,17/20)存在 MGMT 启动子甲基化:在这项研究中,我们首次对APS胶质瘤患者进行了系统研究。大多数 APS 患者都有头痛和头晕症状。APS 胶质瘤在放射学上被进一步分为两大亚型,相关的手术方法也不尽相同。A型的APS胶质瘤更有可能接受全切除术。
本文章由计算机程序翻译,如有差异,请以英文原文为准。
求助全文
约1分钟内获得全文 求助全文
来源期刊
CiteScore
2.70
自引率
0.00%
发文量
224
审稿时长
10 weeks
×
引用
GB/T 7714-2015
复制
MLA
复制
APA
复制
导出至
BibTeX EndNote RefMan NoteFirst NoteExpress
×
提示
您的信息不完整,为了账户安全,请先补充。
现在去补充
×
提示
您因"违规操作"
具体请查看互助需知
我知道了
×
提示
确定
请完成安全验证×
copy
已复制链接
快去分享给好友吧!
我知道了
右上角分享
点击右上角分享
0
联系我们:info@booksci.cn Book学术提供免费学术资源搜索服务,方便国内外学者检索中英文文献。致力于提供最便捷和优质的服务体验。 Copyright © 2023 布克学术 All rights reserved.
京ICP备2023020795号-1
ghs 京公网安备 11010802042870号
Book学术文献互助
Book学术文献互助群
群 号:604180095
Book学术官方微信