Atypical Presentation and Delayed Diagnosis of Gyrate Atrophy: Case Reports of Two Siblings.

Beyoglu Eye Journal Pub Date : 2023-12-01 eCollection Date: 2023-01-01 DOI:10.14744/bej.2023.72473
Tugce Horozoglu Ceran, Berrak Sekeryapan Gediz, Kenan Sonmez
{"title":"Atypical Presentation and Delayed Diagnosis of Gyrate Atrophy: Case Reports of Two Siblings.","authors":"Tugce Horozoglu Ceran, Berrak Sekeryapan Gediz, Kenan Sonmez","doi":"10.14744/bej.2023.72473","DOIUrl":null,"url":null,"abstract":"<p><p>Gyrate atrophy (GA) is a hereditary condition characterized by ornithine aminotransferase deficiency-related large areas of retinal pigment epithelium and choriocapillaris lobular-shaped atrophy in the peripheral retina. In this report, we present a case of atypical presentation of GA. The aim of this report is to present two siblings, one of which was associated with a lamellar macular hole and with a history of previous diagnosis of retinitis pigmentosa. The delayed diagnosis of GA was made only after her brother, who was 5 years younger than her was diagnosed with GA. In addition, in this report, we evaluated GA in terms of multimodal imaging findings, differential diagnosis, and treatment of macular complications.</p>","PeriodicalId":8740,"journal":{"name":"Beyoglu Eye Journal","volume":"8 4","pages":"301-307"},"PeriodicalIF":0.0000,"publicationDate":"2023-12-01","publicationTypes":"Journal Article","fieldsOfStudy":null,"isOpenAccess":false,"openAccessPdf":"https://www.ncbi.nlm.nih.gov/pmc/articles/PMC10711583/pdf/","citationCount":"0","resultStr":null,"platform":"Semanticscholar","paperid":null,"PeriodicalName":"Beyoglu Eye Journal","FirstCategoryId":"1085","ListUrlMain":"https://doi.org/10.14744/bej.2023.72473","RegionNum":0,"RegionCategory":null,"ArticlePicture":[],"TitleCN":null,"AbstractTextCN":null,"PMCID":null,"EPubDate":"2023/1/1 0:00:00","PubModel":"eCollection","JCR":"","JCRName":"","Score":null,"Total":0}
引用次数: 0

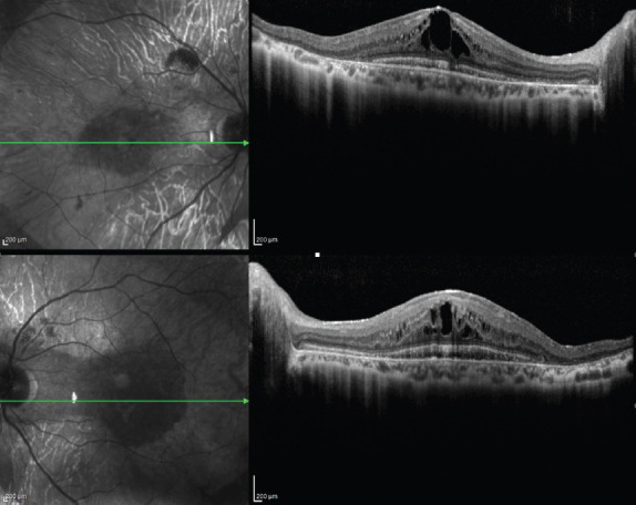
Abstract

Gyrate atrophy (GA) is a hereditary condition characterized by ornithine aminotransferase deficiency-related large areas of retinal pigment epithelium and choriocapillaris lobular-shaped atrophy in the peripheral retina. In this report, we present a case of atypical presentation of GA. The aim of this report is to present two siblings, one of which was associated with a lamellar macular hole and with a history of previous diagnosis of retinitis pigmentosa. The delayed diagnosis of GA was made only after her brother, who was 5 years younger than her was diagnosed with GA. In addition, in this report, we evaluated GA in terms of multimodal imaging findings, differential diagnosis, and treatment of macular complications.

Abstract Image

Abstract Image

Abstract Image

回旋肌萎缩症的非典型表现和延迟诊断:两兄妹的病例报告
Gyrate 萎缩(GA)是一种遗传性疾病,其特征是与鸟氨酸氨基转移酶缺乏症有关的大面积视网膜色素上皮细胞和周边视网膜绒毛膜叶状萎缩。在本报告中,我们介绍了一例表现不典型的 GA 病例。本报告的目的是介绍两对兄弟姐妹,其中一人伴有片状黄斑孔,并曾被诊断为视网膜色素变性。在她比她小 5 岁的哥哥被诊断出患有 GA 之后,她才被延迟诊断出患有 GA。此外,在本报告中,我们还从多模态成像结果、鉴别诊断和黄斑并发症的治疗等方面对 GA 进行了评估。
本文章由计算机程序翻译,如有差异,请以英文原文为准。
求助全文
约1分钟内获得全文 求助全文
来源期刊
自引率
0.00%
发文量
42
审稿时长
16 weeks
×
引用
GB/T 7714-2015
复制
MLA
复制
APA
复制
导出至
BibTeX EndNote RefMan NoteFirst NoteExpress
×
提示
您的信息不完整,为了账户安全,请先补充。
现在去补充
×
提示
您因"违规操作"
具体请查看互助需知
我知道了
×
提示
确定
请完成安全验证×
copy
已复制链接
快去分享给好友吧!
我知道了
右上角分享
点击右上角分享
0
联系我们:info@booksci.cn Book学术提供免费学术资源搜索服务,方便国内外学者检索中英文文献。致力于提供最便捷和优质的服务体验。 Copyright © 2023 布克学术 All rights reserved.
京ICP备2023020795号-1
ghs 京公网安备 11010802042870号
Book学术文献互助
Book学术文献互助群
群 号:604180095
Book学术官方微信