Migraine in an Adolescent with a Pineal Cyst Treated with Classical Individualized Homeopathy: A Case Report.

IF 0.8 4区 医学 Q3 INTEGRATIVE & COMPLEMENTARY MEDICINE
Complementary Medicine Research Pub Date : 2024-01-01 Epub Date: 2023-12-14 DOI:10.1159/000535615
Katarina Lucija Glas, Amritha Belagaje, Seema Mahesh, George Vithoulkas
{"title":"Migraine in an Adolescent with a Pineal Cyst Treated with Classical Individualized Homeopathy: A Case Report.","authors":"Katarina Lucija Glas, Amritha Belagaje, Seema Mahesh, George Vithoulkas","doi":"10.1159/000535615","DOIUrl":null,"url":null,"abstract":"<p><strong>Background: </strong>Migraine is one of the leading causes of morbidity and disability in the world. Its prevalence ranges from 5 to 40% in the pediatric population, with about 50% of these headaches continuing to adulthood. Incidental diagnosis of pineal cysts (PCs) is on the rise with the evolution of imaging techniques; the causal relationship of PC and individuals with headache however remains controversial, and complete resolution is uncommon. Conventional medicine stresses on the importance of tailored therapy in the management of pediatric migraine.</p><p><strong>Case report: </strong>An 11-year-old female, diagnosed with migraine with an aura and PC, was benefitted by individualized classical homeopathic therapy using the homeopathic preparation Phosphorous and Natrum muriaticum. The symptoms of migraine improved, and the incidentally diagnosed PC completely resolved during the course of treatment.</p><p><strong>Conclusion: </strong>Individualized classical homeopathy may have a role in effectively treating migraines and PCs in the pediatric population. There is a need for further scientific investigation with well-designed studies to prove the effectiveness of this therapeutic method, taking care to maintain the individualization principle of classical homeopathy.</p><p><p><title>Hintergrund</title>Migräne ist eine der führenden Ursachen für Krankheitslast und Behinderung weltweit. Ihre Prävalenz bei Kindern und Jugendlichen liegt im Bereich von 5–40%; hiervon sind etwa 50% bis ins Erwachsenenalter von den Kopfschmerzen betroffen. Zufallsdiagnosen von Pinealiszysten (PC) kommen im Zuge des Fortschritts bei den bildgebenden Verfahren immer häufiger vor, jedoch ist ein kausaler Zusammenhang der PC mit Kopfschmerzen umstritten, und ein vollständige Rückbildung kommt nicht häufig vor. Die Schulmedizin betont, wie wichtig eine maßgeschneiderte Therapie bei der Behandlung der Migräne im Kindesalter ist.<title>Fallbericht</title>Ein 11-jähriges Mädchen, bei dem eine Migräne mit Aura und eine Pinealiszyste diagnostiziert wurde, profitierte von einer individualisierten klassisch-homöopathischen Therapie mit den homöopathischen Präparaten Phosphorus und Natrum muriaticum. Die Migränesymptome besserten sich, und die zufällig diagnostizierte Pinealiszyste bildete sich im Laufe der Behandlung vollständig zurück.<title>Schlussfolgerung</title>Die individualisierte klassische Homöopathie kann bei der wirksamen Behandlung von Migräne und Pinealiszysten bei Kindern und Jugendlichen eine Rolle spielen. Es bedarf weiterer wissenschaftlicher Untersuchungen mit gutem Studiendesign, um die Wirksamkeit dieser Behandlungsmethode nachzuweisen, wobei darauf zu achten ist, das Individualisierungsprinzip der klassischen Homöopathie aufrechtzuerhalten.</p>","PeriodicalId":10541,"journal":{"name":"Complementary Medicine Research","volume":" ","pages":"89-93"},"PeriodicalIF":0.8000,"publicationDate":"2024-01-01","publicationTypes":"Journal Article","fieldsOfStudy":null,"isOpenAccess":false,"openAccessPdf":"https://www.ncbi.nlm.nih.gov/pmc/articles/PMC10911644/pdf/","citationCount":"0","resultStr":null,"platform":"Semanticscholar","paperid":null,"PeriodicalName":"Complementary Medicine Research","FirstCategoryId":"3","ListUrlMain":"https://doi.org/10.1159/000535615","RegionNum":4,"RegionCategory":"医学","ArticlePicture":[],"TitleCN":null,"AbstractTextCN":null,"PMCID":null,"EPubDate":"2023/12/14 0:00:00","PubModel":"Epub","JCR":"Q3","JCRName":"INTEGRATIVE & COMPLEMENTARY MEDICINE","Score":null,"Total":0}
引用次数: 0

Abstract

Background: Migraine is one of the leading causes of morbidity and disability in the world. Its prevalence ranges from 5 to 40% in the pediatric population, with about 50% of these headaches continuing to adulthood. Incidental diagnosis of pineal cysts (PCs) is on the rise with the evolution of imaging techniques; the causal relationship of PC and individuals with headache however remains controversial, and complete resolution is uncommon. Conventional medicine stresses on the importance of tailored therapy in the management of pediatric migraine.

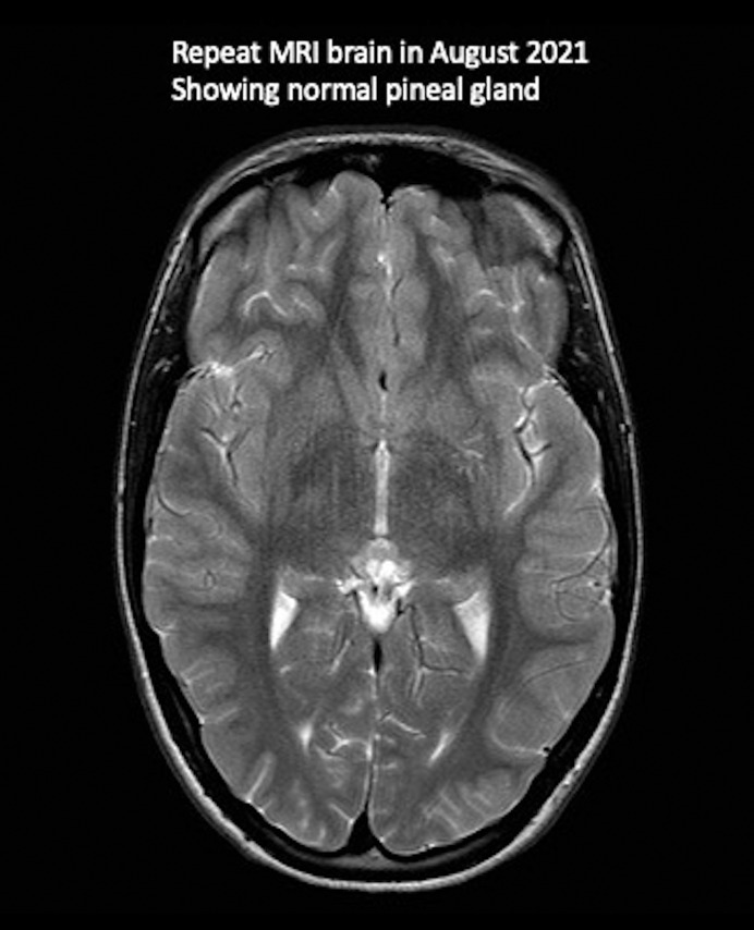
Case report: An 11-year-old female, diagnosed with migraine with an aura and PC, was benefitted by individualized classical homeopathic therapy using the homeopathic preparation Phosphorous and Natrum muriaticum. The symptoms of migraine improved, and the incidentally diagnosed PC completely resolved during the course of treatment.

Conclusion: Individualized classical homeopathy may have a role in effectively treating migraines and PCs in the pediatric population. There is a need for further scientific investigation with well-designed studies to prove the effectiveness of this therapeutic method, taking care to maintain the individualization principle of classical homeopathy.

HintergrundMigräne ist eine der führenden Ursachen für Krankheitslast und Behinderung weltweit. Ihre Prävalenz bei Kindern und Jugendlichen liegt im Bereich von 5–40%; hiervon sind etwa 50% bis ins Erwachsenenalter von den Kopfschmerzen betroffen. Zufallsdiagnosen von Pinealiszysten (PC) kommen im Zuge des Fortschritts bei den bildgebenden Verfahren immer häufiger vor, jedoch ist ein kausaler Zusammenhang der PC mit Kopfschmerzen umstritten, und ein vollständige Rückbildung kommt nicht häufig vor. Die Schulmedizin betont, wie wichtig eine maßgeschneiderte Therapie bei der Behandlung der Migräne im Kindesalter ist.FallberichtEin 11-jähriges Mädchen, bei dem eine Migräne mit Aura und eine Pinealiszyste diagnostiziert wurde, profitierte von einer individualisierten klassisch-homöopathischen Therapie mit den homöopathischen Präparaten Phosphorus und Natrum muriaticum. Die Migränesymptome besserten sich, und die zufällig diagnostizierte Pinealiszyste bildete sich im Laufe der Behandlung vollständig zurück.SchlussfolgerungDie individualisierte klassische Homöopathie kann bei der wirksamen Behandlung von Migräne und Pinealiszysten bei Kindern und Jugendlichen eine Rolle spielen. Es bedarf weiterer wissenschaftlicher Untersuchungen mit gutem Studiendesign, um die Wirksamkeit dieser Behandlungsmethode nachzuweisen, wobei darauf zu achten ist, das Individualisierungsprinzip der klassischen Homöopathie aufrechtzuerhalten.

Abstract Image

Abstract Image

Abstract Image

用经典个性化顺势疗法治疗患有松果体囊肿的青少年偏头痛 - 病例报告。
背景:偏头痛是全球发病率和致残率的主要原因之一。偏头痛在儿童中的发病率为 5-40%,其中约 50%的头痛会持续到成年。随着成像技术的发展,松果体囊肿(PC)的偶然诊断率正在上升;然而,PC 与头痛患者的因果关系仍存在争议,而且完全缓解的情况并不常见。传统医学强调,在治疗小儿偏头痛时,有针对性的治疗非常重要:病例报告:一名被诊断为有先兆偏头痛和松果体囊肿的 11 岁女性,接受了使用顺势疗法制剂 "磷 "和 "鼠曲草 "的个性化经典顺势疗法。在治疗过程中,偏头痛症状得到改善,偶然诊断出的松果体囊肿也完全消退:经典顺势疗法可有效治疗儿童偏头痛和松果体囊肿。有必要进行进一步的科学调查,通过精心设计的研究来证明这种治疗方法的有效性,同时注意保持经典顺势疗法的个性化原则。
本文章由计算机程序翻译,如有差异,请以英文原文为准。
求助全文
约1分钟内获得全文 求助全文
来源期刊
Complementary Medicine Research
Complementary Medicine Research Medicine-Complementary and Alternative Medicine
CiteScore
2.90
自引率
5.60%
发文量
50
期刊介绍: Aims and Scope ''Complementary Medicine Research'' is an international journal that aims to bridge the gap between conventional medicine and complementary/alternative medicine (CAM) on a sound scientific basis, promoting their mutual integration. Accordingly, experts of both conventional medicine and CAM medicine cooperate on the journal‘s editorial board, which accepts papers only after a rigorous peer-review process in order to maintain a high standard of scientific quality. Spectrum of ''Complementary Medicine Research'': - Review and Original Articles, Case Reports and Essays regarding complementary practice and methods - Journal Club: Analysis and discussion of internationally published articles in complementary medicine - Editorials of leading experts in complementary medicine - Questions of complementary patient-centered care - Education in complementary medicine - Reports on important meetings and conferences - Society Bulletins of Schweizerische Medizinische Gesellschaft für Phytotherapie (SMGP) and Deutsche Gesellschaft für Naturheilkunde Bibliographic Details Complementary Medicine Research Journal Abbreviation: Complement Med Res ISSN: 2504-2092 (Print) e-ISSN: 2504-2106 (Online) DOI: 10.1159/issn.2504-2092 www.karger.com/CMR
×
引用
GB/T 7714-2015
复制
MLA
复制
APA
复制
导出至
BibTeX EndNote RefMan NoteFirst NoteExpress
×
提示
您的信息不完整,为了账户安全,请先补充。
现在去补充
×
提示
您因"违规操作"
具体请查看互助需知
我知道了
×
提示
确定
请完成安全验证×
copy
已复制链接
快去分享给好友吧!
我知道了
右上角分享
点击右上角分享
0
联系我们:info@booksci.cn Book学术提供免费学术资源搜索服务,方便国内外学者检索中英文文献。致力于提供最便捷和优质的服务体验。 Copyright © 2023 布克学术 All rights reserved.
京ICP备2023020795号-1
ghs 京公网安备 11010802042870号
Book学术文献互助
Book学术文献互助群
群 号:604180095
Book学术官方微信