Coccygeal Disc Disease as a Possible Cause of Coccygodynia.

Q3 Medicine
Spyridon P Galanakos, Nikolaos D Karakousis, George Bablekos, Sophia Fontara
{"title":"Coccygeal Disc Disease as a Possible Cause of Coccygodynia.","authors":"Spyridon P Galanakos, Nikolaos D Karakousis, George Bablekos, Sophia Fontara","doi":"10.5644/ama2006-124.418","DOIUrl":null,"url":null,"abstract":"<p><strong>Objective: </strong>The aim of the present study was to describe the causes involved in the pathophysiology of coccydynia, emerging from the coccyx or the anatomical tailbone region.</p><p><strong>Case report: </strong>We present the case of a 64-year-old man with pain in the coccyx and numbness in the perianal area. After clinical examination and imaging evaluation, including plain X-rays and magnetic resonance, coccygeal disc disease was identified. Other findings, such as tumor and fracture were excluded. We decided to undertake conservative management and the pain was eventually relieved. This is the first case report of coccygodynia and perianal numbness attributed to coccygeal disc disease.</p><p><strong>Conlcusion: </strong>Although there is no standard treatment, coexisting coccygeal disc disease should be always taken into account, with clinical and imaging examinations being considered of major importance to establish both medical diagnosis and treatment.</p>","PeriodicalId":38313,"journal":{"name":"Acta medica academica","volume":" ","pages":"231-235"},"PeriodicalIF":0.0000,"publicationDate":"2023-12-01","publicationTypes":"Journal Article","fieldsOfStudy":null,"isOpenAccess":false,"openAccessPdf":"https://www.ncbi.nlm.nih.gov/pmc/articles/PMC10945321/pdf/","citationCount":"0","resultStr":null,"platform":"Semanticscholar","paperid":null,"PeriodicalName":"Acta medica academica","FirstCategoryId":"1085","ListUrlMain":"https://doi.org/10.5644/ama2006-124.418","RegionNum":0,"RegionCategory":null,"ArticlePicture":[],"TitleCN":null,"AbstractTextCN":null,"PMCID":null,"EPubDate":"","PubModel":"","JCR":"Q3","JCRName":"Medicine","Score":null,"Total":0}
引用次数: 0

Abstract

Objective: The aim of the present study was to describe the causes involved in the pathophysiology of coccydynia, emerging from the coccyx or the anatomical tailbone region.

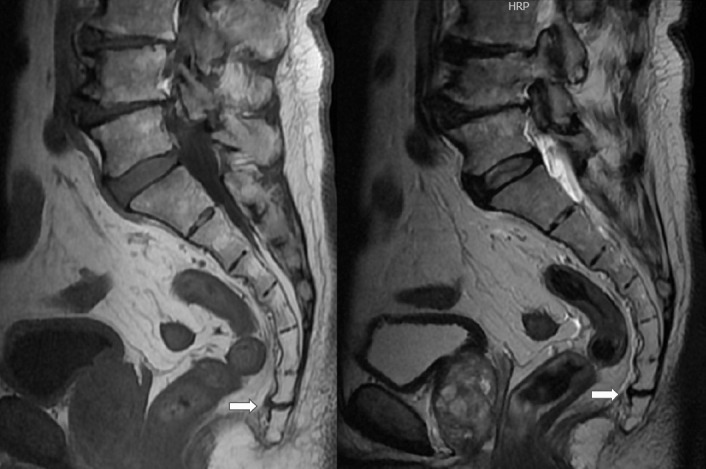
Case report: We present the case of a 64-year-old man with pain in the coccyx and numbness in the perianal area. After clinical examination and imaging evaluation, including plain X-rays and magnetic resonance, coccygeal disc disease was identified. Other findings, such as tumor and fracture were excluded. We decided to undertake conservative management and the pain was eventually relieved. This is the first case report of coccygodynia and perianal numbness attributed to coccygeal disc disease.

Conlcusion: Although there is no standard treatment, coexisting coccygeal disc disease should be always taken into account, with clinical and imaging examinations being considered of major importance to establish both medical diagnosis and treatment.

Abstract Image

可能导致尾骨痛的尾椎间盘疾病
研究目的本研究旨在描述尾骨痛的病理生理学原因,尾骨痛是由尾骨或尾骨解剖区域引起的:本病例是一名 64 岁男性的病例,他患有尾骨疼痛和肛周麻木。经过临床检查和影像学评估(包括 X 光平片和磁共振),确定了尾椎椎间盘疾病。排除了肿瘤和骨折等其他病变。我们决定采取保守治疗,疼痛最终得到缓解。这是首例因尾椎椎间盘疾病导致尾骨痛和肛周麻木的病例报告:虽然目前还没有标准的治疗方法,但应始终考虑并存的尾椎间盘疾病,临床和影像学检查对于确定医学诊断和治疗至关重要。
本文章由计算机程序翻译,如有差异,请以英文原文为准。
求助全文
约1分钟内获得全文 求助全文
来源期刊
Acta medica academica
Acta medica academica Medicine-Medicine (all)
CiteScore
1.90
自引率
0.00%
发文量
21
审稿时长
15 weeks
×
引用
GB/T 7714-2015
复制
MLA
复制
APA
复制
导出至
BibTeX EndNote RefMan NoteFirst NoteExpress
×
提示
您的信息不完整,为了账户安全,请先补充。
现在去补充
×
提示
您因"违规操作"
具体请查看互助需知
我知道了
×
提示
确定
请完成安全验证×
copy
已复制链接
快去分享给好友吧!
我知道了
右上角分享
点击右上角分享
0
联系我们:info@booksci.cn Book学术提供免费学术资源搜索服务,方便国内外学者检索中英文文献。致力于提供最便捷和优质的服务体验。 Copyright © 2023 布克学术 All rights reserved.
京ICP备2023020795号-1
ghs 京公网安备 11010802042870号
Book学术文献互助
Book学术文献互助群
群 号:604180095
Book学术官方微信