An Atypical Presentation of Childhood Paraganglioma with Seizures: A Case Report and Review of the Literature.

IF 0.9 Q4 ENDOCRINOLOGY & METABOLISM
Case Reports in Endocrinology Pub Date : 2023-11-27 eCollection Date: 2023-01-01 DOI:10.1155/2023/6637802
Elizabeth Eberechi Oyenusi, Uzoamaka Felicia Nwigbo, Oluwadamilola Moromoke Oladipo, Blessing Ebele Kene-Udemezue, Kasarachi Pauline Akowundu, Khadijah Omobusola Oleolo-Ayodeji, Oluwaseun Adunni Afoke, Funmilayo Oluwatoyin Babatunde, Felix Makinde Alakaloko, Gabriel Kolawole Asiyanbi, Ezekiel Olayiwola Ogunleye, Abiola Olufunmilayo Oduwole, Foluso Ebun Afolabi Lesi
{"title":"An Atypical Presentation of Childhood Paraganglioma with Seizures: A Case Report and Review of the Literature.","authors":"Elizabeth Eberechi Oyenusi, Uzoamaka Felicia Nwigbo, Oluwadamilola Moromoke Oladipo, Blessing Ebele Kene-Udemezue, Kasarachi Pauline Akowundu, Khadijah Omobusola Oleolo-Ayodeji, Oluwaseun Adunni Afoke, Funmilayo Oluwatoyin Babatunde, Felix Makinde Alakaloko, Gabriel Kolawole Asiyanbi, Ezekiel Olayiwola Ogunleye, Abiola Olufunmilayo Oduwole, Foluso Ebun Afolabi Lesi","doi":"10.1155/2023/6637802","DOIUrl":null,"url":null,"abstract":"<p><strong>Introduction: </strong>A paraganglioma (PGL) is a tumour derived from extra-adrenal chromaffin cells of the sympathetic paravertebral ganglia of the thorax, abdomen, and pelvis. Cardiovascular manifestations predominate but neurological symptoms like seizures can occur requiring a high index of suspicion for prompt diagnosis and treatment. <i>Case Description</i>. A 14-year-old girl was referred to the paediatric neurology unit for recurrent headaches of one-year duration, vomiting of 2 months duration, and an episode of generalized tonic-clonic seizures, 2 weeks prior to presentation. There was an associated history of impaired vision, palpitations, diaphoresis, and easy fatigability. Her blood pressure ranged from 150/101 to 160/120 mmHg. The brain CT scan was normal. ECG showed left ventricular hypertrophy. Abdominal USS revealed a right para-aortic mass necessitating 24-hour urine normetanephrine which was markedly elevated-1695.34 mcg/24 h (100-500). An abdominal CT scan confirmed a paraganglioma in the right para-aortic region. A multidisciplinary team consisting of paediatric endocrinologists, radiologists, anaesthetists, paediatric and cardiothoracic surgeons, and the intensive care unit (ICU) team was involved in the peri and postoperative management of the child. Intraoperative challenges were hypertension and hypotension (following tumour excision). She was nursed in the ICU for 48 hours. Histology results confirmed paraganglioma. Postoperative urine normetanephrines done a month after surgery had reverted to normal. Her blood pressure has remained normal 6 months after surgery, and no other symptoms have recurred.</p><p><strong>Conclusion: </strong>In evaluating aetiology of childhood hypertension, endocrine causes must be considered though they are rare. The occurrence of paraganglioma is uncommon and can present in unusual ways such as seizures. Measurement of blood pressure in children is advocated as part of routine health care. Clinicians must explore the aetiology of seizures and not merely control them with anticonvulsant therapy.</p>","PeriodicalId":9621,"journal":{"name":"Case Reports in Endocrinology","volume":"2023 ","pages":"6637802"},"PeriodicalIF":0.9000,"publicationDate":"2023-11-27","publicationTypes":"Journal Article","fieldsOfStudy":null,"isOpenAccess":false,"openAccessPdf":"https://www.ncbi.nlm.nih.gov/pmc/articles/PMC10696474/pdf/","citationCount":"0","resultStr":null,"platform":"Semanticscholar","paperid":null,"PeriodicalName":"Case Reports in Endocrinology","FirstCategoryId":"1085","ListUrlMain":"https://doi.org/10.1155/2023/6637802","RegionNum":0,"RegionCategory":null,"ArticlePicture":[],"TitleCN":null,"AbstractTextCN":null,"PMCID":null,"EPubDate":"2023/1/1 0:00:00","PubModel":"eCollection","JCR":"Q4","JCRName":"ENDOCRINOLOGY & METABOLISM","Score":null,"Total":0}
引用次数: 0

Abstract

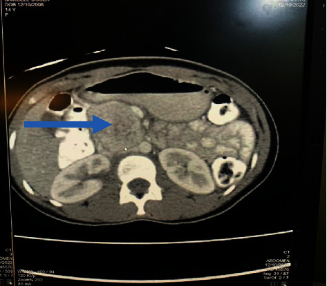
Introduction: A paraganglioma (PGL) is a tumour derived from extra-adrenal chromaffin cells of the sympathetic paravertebral ganglia of the thorax, abdomen, and pelvis. Cardiovascular manifestations predominate but neurological symptoms like seizures can occur requiring a high index of suspicion for prompt diagnosis and treatment. Case Description. A 14-year-old girl was referred to the paediatric neurology unit for recurrent headaches of one-year duration, vomiting of 2 months duration, and an episode of generalized tonic-clonic seizures, 2 weeks prior to presentation. There was an associated history of impaired vision, palpitations, diaphoresis, and easy fatigability. Her blood pressure ranged from 150/101 to 160/120 mmHg. The brain CT scan was normal. ECG showed left ventricular hypertrophy. Abdominal USS revealed a right para-aortic mass necessitating 24-hour urine normetanephrine which was markedly elevated-1695.34 mcg/24 h (100-500). An abdominal CT scan confirmed a paraganglioma in the right para-aortic region. A multidisciplinary team consisting of paediatric endocrinologists, radiologists, anaesthetists, paediatric and cardiothoracic surgeons, and the intensive care unit (ICU) team was involved in the peri and postoperative management of the child. Intraoperative challenges were hypertension and hypotension (following tumour excision). She was nursed in the ICU for 48 hours. Histology results confirmed paraganglioma. Postoperative urine normetanephrines done a month after surgery had reverted to normal. Her blood pressure has remained normal 6 months after surgery, and no other symptoms have recurred.

Conclusion: In evaluating aetiology of childhood hypertension, endocrine causes must be considered though they are rare. The occurrence of paraganglioma is uncommon and can present in unusual ways such as seizures. Measurement of blood pressure in children is advocated as part of routine health care. Clinicians must explore the aetiology of seizures and not merely control them with anticonvulsant therapy.

Abstract Image

Abstract Image

Abstract Image

儿童副神经节瘤伴癫痫的非典型表现:1例报告及文献复习。
简介:副神经节瘤(PGL)是一种来源于胸、腹、骨盆交感椎旁神经节肾上腺外染色质细胞的肿瘤。主要表现为心血管症状,但可能出现癫痫等神经系统症状,需要高度怀疑才能及时诊断和治疗。案例描述。一名14岁女孩因复发性头痛持续1年,呕吐持续2个月,并在就诊前2周出现全身性强直-阵挛性癫痫发作而被转介至儿科神经内科。患者有视力受损、心悸、出汗和易疲劳的病史。她的血压在150/101到160/120毫米汞柱之间。脑部CT扫描正常。心电图显示左室肥厚。腹部超声示右侧主动脉旁肿块,需24小时尿去甲肾上腺素显著升高-1695.34 mcg/24 h(100-500)。腹部CT扫描证实右侧主动脉旁区有副神经节瘤。一个由儿科内分泌学家、放射科医生、麻醉师、儿科和心胸外科医生以及重症监护病房(ICU)团队组成的多学科小组参与了该儿童的围手术期和术后管理。术中挑战是高血压和低血压(肿瘤切除后)。她在重症监护室护理了48小时。组织学结果证实副神经节瘤。术后1个月尿去甲肾上腺素恢复正常。术后6个月血压保持正常,无其他症状复发。结论:在评估儿童高血压的病因时,虽然内分泌原因很少,但仍应考虑。副神经节瘤的发生是不常见的,可以表现为不寻常的方式,如癫痫发作。儿童血压测量被提倡作为常规保健的一部分。临床医生必须探索癫痫发作的病因,而不仅仅是用抗惊厥药物来控制它们。
本文章由计算机程序翻译,如有差异,请以英文原文为准。
求助全文
约1分钟内获得全文 求助全文
来源期刊
Case Reports in Endocrinology
Case Reports in Endocrinology ENDOCRINOLOGY & METABOLISM-
CiteScore
2.10
自引率
0.00%
发文量
45
审稿时长
13 weeks
×
引用
GB/T 7714-2015
复制
MLA
复制
APA
复制
导出至
BibTeX EndNote RefMan NoteFirst NoteExpress
×
提示
您的信息不完整,为了账户安全,请先补充。
现在去补充
×
提示
您因"违规操作"
具体请查看互助需知
我知道了
×
提示
确定
请完成安全验证×
copy
已复制链接
快去分享给好友吧!
我知道了
右上角分享
点击右上角分享
0
联系我们:info@booksci.cn Book学术提供免费学术资源搜索服务,方便国内外学者检索中英文文献。致力于提供最便捷和优质的服务体验。 Copyright © 2023 布克学术 All rights reserved.
京ICP备2023020795号-1
ghs 京公网安备 11010802042870号
Book学术文献互助
Book学术文献互助群
群 号:604180095
Book学术官方微信