Spontaneous Cortical Intracerebral Hemorrhage Causing Ipsilateral Hand and Oral Sensory Change Without Motor Deficit: A Case Report.

Brain & NeuroRehabilitation Pub Date : 2023-11-02 eCollection Date: 2023-11-01 DOI:10.12786/bn.2023.16.e30
Minwoo Kim, Donghyun Shin, Songi Han, Jusun Oh
{"title":"Spontaneous Cortical Intracerebral Hemorrhage Causing Ipsilateral Hand and Oral Sensory Change Without Motor Deficit: A Case Report.","authors":"Minwoo Kim, Donghyun Shin, Songi Han, Jusun Oh","doi":"10.12786/bn.2023.16.e30","DOIUrl":null,"url":null,"abstract":"<p><p>Intracerebral hemorrhage (ICH) is the second most common stroke subtype associated with high morbidity and mortality rates. Although various brain regions are susceptible to ICH, putaminal hemorrhage is the most common, whereas cortical ICH is less common. Here, we report the case of a 69-year-old man who developed a parietal cortical ICH. The patient developed hypoesthesia and paresthesia in the right upper lip and hand; however, the weakness was not severe. Twenty-five days after the ICH onset, the manual muscle test results were normal, but he had difficulty eating and shaving because of decreased hand dexterity. The rehabilitation focused on improving fine hand motor function and endurance. On the 94th day after ICH onset, paresthesia remained only in the fingertips, and the upper lip sensory change disappeared. Patients with sensory symptoms in the perioral area, hands, and brain lesions were previously referred to as having cheiro-oral syndrome (COS). With the advancement of neuroimaging, the use of this term has decreased, as cerebrovascular events can explain patient symptoms in correlation with neuroanatomy, etiology, and pathogenesis. We report a patient with cortical ICH, also known as COS, which is a stroke syndrome with a good prognosis.</p>","PeriodicalId":72442,"journal":{"name":"Brain & NeuroRehabilitation","volume":"16 3","pages":"e30"},"PeriodicalIF":0.0000,"publicationDate":"2023-11-02","publicationTypes":"Journal Article","fieldsOfStudy":null,"isOpenAccess":false,"openAccessPdf":"https://www.ncbi.nlm.nih.gov/pmc/articles/PMC10689855/pdf/","citationCount":"0","resultStr":null,"platform":"Semanticscholar","paperid":null,"PeriodicalName":"Brain & NeuroRehabilitation","FirstCategoryId":"1085","ListUrlMain":"https://doi.org/10.12786/bn.2023.16.e30","RegionNum":0,"RegionCategory":null,"ArticlePicture":[],"TitleCN":null,"AbstractTextCN":null,"PMCID":null,"EPubDate":"2023/11/1 0:00:00","PubModel":"eCollection","JCR":"","JCRName":"","Score":null,"Total":0}
引用次数: 0

Abstract

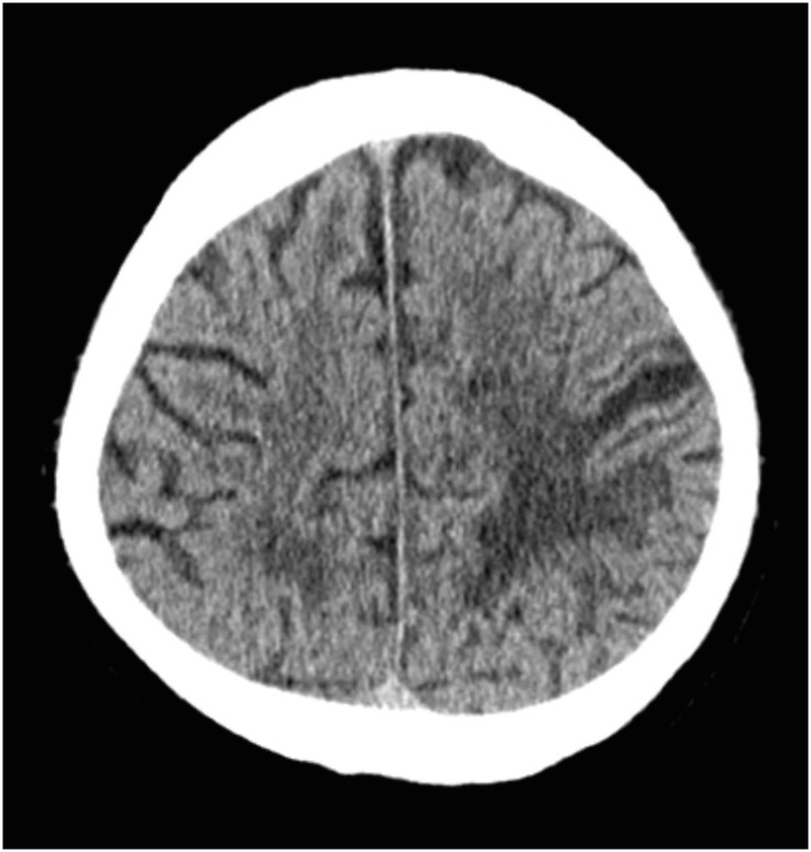
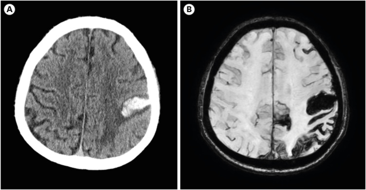
Intracerebral hemorrhage (ICH) is the second most common stroke subtype associated with high morbidity and mortality rates. Although various brain regions are susceptible to ICH, putaminal hemorrhage is the most common, whereas cortical ICH is less common. Here, we report the case of a 69-year-old man who developed a parietal cortical ICH. The patient developed hypoesthesia and paresthesia in the right upper lip and hand; however, the weakness was not severe. Twenty-five days after the ICH onset, the manual muscle test results were normal, but he had difficulty eating and shaving because of decreased hand dexterity. The rehabilitation focused on improving fine hand motor function and endurance. On the 94th day after ICH onset, paresthesia remained only in the fingertips, and the upper lip sensory change disappeared. Patients with sensory symptoms in the perioral area, hands, and brain lesions were previously referred to as having cheiro-oral syndrome (COS). With the advancement of neuroimaging, the use of this term has decreased, as cerebrovascular events can explain patient symptoms in correlation with neuroanatomy, etiology, and pathogenesis. We report a patient with cortical ICH, also known as COS, which is a stroke syndrome with a good prognosis.

Abstract Image

Abstract Image

Abstract Image

自发性皮质脑出血引起同侧手部及口腔感觉改变,无运动障碍1例。
脑出血(ICH)是第二常见的卒中亚型,具有高发病率和高死亡率。虽然不同的脑区易患脑出血,但壳层出血是最常见的,而皮质脑出血则不常见。在这里,我们报告的情况下,一个69岁的男子谁发展了顶叶皮质脑出血。患者出现右上唇和手部感觉减退和感觉异常;然而,疲软并不严重。脑出血发作25天后,手部肌肉检查结果正常,但由于手部灵巧性下降,进食和剃须困难。康复的重点是改善手部精细运动功能和耐力。脑出血后第94天,仅指尖感觉异常,上唇感觉改变消失。在口腔周围区、手部和脑部病变出现感觉症状的患者以前被认为患有头口综合征(COS)。随着神经影像学的进步,这一术语的使用已经减少,因为脑血管事件可以解释与神经解剖学、病因学和发病机制相关的患者症状。我们报告一个患者皮质性脑出血,也被称为COS,这是一种预后良好的中风综合征。
本文章由计算机程序翻译,如有差异,请以英文原文为准。
求助全文
约1分钟内获得全文 求助全文
来源期刊
自引率
0.00%
发文量
0
×
引用
GB/T 7714-2015
复制
MLA
复制
APA
复制
导出至
BibTeX EndNote RefMan NoteFirst NoteExpress
×
提示
您的信息不完整,为了账户安全,请先补充。
现在去补充
×
提示
您因"违规操作"
具体请查看互助需知
我知道了
×
提示
确定
请完成安全验证×
copy
已复制链接
快去分享给好友吧!
我知道了
右上角分享
点击右上角分享
0
联系我们:info@booksci.cn Book学术提供免费学术资源搜索服务,方便国内外学者检索中英文文献。致力于提供最便捷和优质的服务体验。 Copyright © 2023 布克学术 All rights reserved.
京ICP备2023020795号-1
ghs 京公网安备 11010802042870号
Book学术文献互助
Book学术文献互助群
群 号:604180095
Book学术官方微信