Patient With Crossed Aphasia Undergoing Long-Term Speech Therapy: A Case Report.

Brain & NeuroRehabilitation Pub Date : 2023-09-20 eCollection Date: 2023-11-01 DOI:10.12786/bn.2023.16.e23
Tae-Hwan Kim, Myeong-Kwon Yoon, Seung-Gue Choi, Jeong-Seob Kim, Jyul-Lee Choi
{"title":"Patient With Crossed Aphasia Undergoing Long-Term Speech Therapy: A Case Report.","authors":"Tae-Hwan Kim, Myeong-Kwon Yoon, Seung-Gue Choi, Jeong-Seob Kim, Jyul-Lee Choi","doi":"10.12786/bn.2023.16.e23","DOIUrl":null,"url":null,"abstract":"<p><p>Crossed aphasia (CA) is a type of aphasia caused by cerebral hemispheric lesions on the same side of the dominant hand. The prevalence of CA is extremely rare. To the best of our knowledge, this is the first case report in Korea to conduct 6 years of long-term speech therapy in a case of a patient with CA. The patient was a 57-year-old right-handed man with aphasia caused by extensive acute infarction in the right middle cerebral artery territory. He presented with global aphasia, right-left disorientation, and agraphia. Language function recovered in the first 6 months and then plateaued.</p>","PeriodicalId":72442,"journal":{"name":"Brain & NeuroRehabilitation","volume":"16 3","pages":"e23"},"PeriodicalIF":0.0000,"publicationDate":"2023-09-20","publicationTypes":"Journal Article","fieldsOfStudy":null,"isOpenAccess":false,"openAccessPdf":"https://www.ncbi.nlm.nih.gov/pmc/articles/PMC10689864/pdf/","citationCount":"0","resultStr":null,"platform":"Semanticscholar","paperid":null,"PeriodicalName":"Brain & NeuroRehabilitation","FirstCategoryId":"1085","ListUrlMain":"https://doi.org/10.12786/bn.2023.16.e23","RegionNum":0,"RegionCategory":null,"ArticlePicture":[],"TitleCN":null,"AbstractTextCN":null,"PMCID":null,"EPubDate":"2023/11/1 0:00:00","PubModel":"eCollection","JCR":"","JCRName":"","Score":null,"Total":0}
引用次数: 0

Abstract

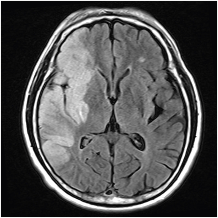
Crossed aphasia (CA) is a type of aphasia caused by cerebral hemispheric lesions on the same side of the dominant hand. The prevalence of CA is extremely rare. To the best of our knowledge, this is the first case report in Korea to conduct 6 years of long-term speech therapy in a case of a patient with CA. The patient was a 57-year-old right-handed man with aphasia caused by extensive acute infarction in the right middle cerebral artery territory. He presented with global aphasia, right-left disorientation, and agraphia. Language function recovered in the first 6 months and then plateaued.

Abstract Image

Abstract Image

Abstract Image

长期言语治疗的交叉失语症1例。
交叉失语症(CA)是一种由惯用手同侧大脑半球病变引起的失语症。CA的流行是极其罕见的。据我们所知,这是韩国首例对CA患者进行6年长期言语治疗的病例报告。该患者是一名57岁的右撇子男性,因右侧大脑中动脉区域广泛急性梗死而导致失语。他表现为全局失语,左右方向障碍和失写症。语言功能在前6个月恢复,然后趋于平稳。
本文章由计算机程序翻译,如有差异,请以英文原文为准。
求助全文
约1分钟内获得全文 求助全文
来源期刊
自引率
0.00%
发文量
0
×
引用
GB/T 7714-2015
复制
MLA
复制
APA
复制
导出至
BibTeX EndNote RefMan NoteFirst NoteExpress
×
提示
您的信息不完整,为了账户安全,请先补充。
现在去补充
×
提示
您因"违规操作"
具体请查看互助需知
我知道了
×
提示
确定
请完成安全验证×
copy
已复制链接
快去分享给好友吧!
我知道了
右上角分享
点击右上角分享
0
联系我们:info@booksci.cn Book学术提供免费学术资源搜索服务,方便国内外学者检索中英文文献。致力于提供最便捷和优质的服务体验。 Copyright © 2023 布克学术 All rights reserved.
京ICP备2023020795号-1
ghs 京公网安备 11010802042870号
Book学术文献互助
Book学术文献互助群
群 号:604180095
Book学术官方微信