Toxoplasma gondii infection of the central nervous system and suicide: A case-control study of decedents.

European journal of microbiology & immunology Pub Date : 2023-11-20 Print Date: 2023-11-23 DOI:10.1556/1886.2023.00033
Laura Alejandra Mendoza-Larios, Fernando García-Dolores, Luis Francisco Sánchez-Anguiano, Elizabeth Irasema Antuna-Salcido, Jesús Hernández-Tinoco, Adriana Rocha-Salais, Marcela Araceli Segoviano-Mendoza, Antonio Sifuentes-Álvarez, Cosme Alvarado-Esquivel
{"title":"Toxoplasma gondii infection of the central nervous system and suicide: A case-control study of decedents.","authors":"Laura Alejandra Mendoza-Larios, Fernando García-Dolores, Luis Francisco Sánchez-Anguiano, Elizabeth Irasema Antuna-Salcido, Jesús Hernández-Tinoco, Adriana Rocha-Salais, Marcela Araceli Segoviano-Mendoza, Antonio Sifuentes-Álvarez, Cosme Alvarado-Esquivel","doi":"10.1556/1886.2023.00033","DOIUrl":null,"url":null,"abstract":"<p><p>We sought to determine the association between Toxoplasma gondii (T. gondii) infection of the central nervous system and suicide in a sample of decedents in Mexico City. One hundred and forty-seven decedents (87 who committed suicide and 60 who did not commit suicide) were studied. Brain tissues (amygdala and prefrontal cortex) of decedents were examined for the detection of T. gondii using immunohistochemistry. Detection of T. gondii was positive in 7 (8.0%) of the 87 cases (6 found in prefrontal cortex and one in amygdala), and in one (1.7%) of the 60 controls (found in prefrontal cortex) (OR: 5.16; 95% CI: 0.61-43.10; P = 0.14). Results suggest that T. gondii infection in brain is not associated with suicide. Further studies to confirm this finding are needed.</p>","PeriodicalId":93998,"journal":{"name":"European journal of microbiology & immunology","volume":" ","pages":"77-82"},"PeriodicalIF":0.0000,"publicationDate":"2023-11-20","publicationTypes":"Journal Article","fieldsOfStudy":null,"isOpenAccess":false,"openAccessPdf":"https://www.ncbi.nlm.nih.gov/pmc/articles/PMC10668923/pdf/","citationCount":"0","resultStr":null,"platform":"Semanticscholar","paperid":null,"PeriodicalName":"European journal of microbiology & immunology","FirstCategoryId":"1085","ListUrlMain":"https://doi.org/10.1556/1886.2023.00033","RegionNum":0,"RegionCategory":null,"ArticlePicture":[],"TitleCN":null,"AbstractTextCN":null,"PMCID":null,"EPubDate":"2023/11/23 0:00:00","PubModel":"Print","JCR":"","JCRName":"","Score":null,"Total":0}
引用次数: 0

Abstract

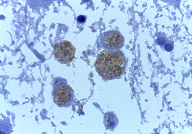
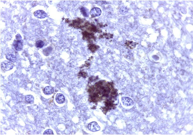
We sought to determine the association between Toxoplasma gondii (T. gondii) infection of the central nervous system and suicide in a sample of decedents in Mexico City. One hundred and forty-seven decedents (87 who committed suicide and 60 who did not commit suicide) were studied. Brain tissues (amygdala and prefrontal cortex) of decedents were examined for the detection of T. gondii using immunohistochemistry. Detection of T. gondii was positive in 7 (8.0%) of the 87 cases (6 found in prefrontal cortex and one in amygdala), and in one (1.7%) of the 60 controls (found in prefrontal cortex) (OR: 5.16; 95% CI: 0.61-43.10; P = 0.14). Results suggest that T. gondii infection in brain is not associated with suicide. Further studies to confirm this finding are needed.

Abstract Image

Abstract Image

刚地弓形虫感染中枢神经系统与自杀:死者病例对照研究。
我们试图在墨西哥城的一个死者样本中确定刚地弓形虫(弓形虫)感染中枢神经系统与自杀之间的关系。147名死者(87名自杀者和60名未自杀者)被研究。采用免疫组化方法检测死者脑组织(杏仁核和前额叶皮层)的弓形虫。87例患者中有7例(8.0%)检测出弓形虫阳性(6例在前额叶皮层,1例在杏仁核),60例对照中有1例(1.7%)检测出弓形虫阳性(OR: 5.16;95% ci: 0.61-43.10;P = 0.14)。结果提示,脑内弓形虫感染与自杀无关。需要进一步的研究来证实这一发现。
本文章由计算机程序翻译,如有差异,请以英文原文为准。
求助全文
约1分钟内获得全文 求助全文
来源期刊
自引率
0.00%
发文量
0
×
引用
GB/T 7714-2015
复制
MLA
复制
APA
复制
导出至
BibTeX EndNote RefMan NoteFirst NoteExpress
×
提示
您的信息不完整,为了账户安全,请先补充。
现在去补充
×
提示
您因"违规操作"
具体请查看互助需知
我知道了
×
提示
确定
请完成安全验证×
copy
已复制链接
快去分享给好友吧!
我知道了
右上角分享
点击右上角分享
0
联系我们:info@booksci.cn Book学术提供免费学术资源搜索服务,方便国内外学者检索中英文文献。致力于提供最便捷和优质的服务体验。 Copyright © 2023 布克学术 All rights reserved.
京ICP备2023020795号-1
ghs 京公网安备 11010802042870号
Book学术文献互助
Book学术文献互助群
群 号:604180095
Book学术官方微信