The evaluation of nasolacrimal duct injury in Le Fort I osteotomy patients.

IF 2.1 3区 医学
Y-N Kaba, A-E Demirbas, C Topan, C Yılmaz-Asan, N Ersu
{"title":"The evaluation of nasolacrimal duct injury in Le Fort I osteotomy patients.","authors":"Y-N Kaba, A-E Demirbas, C Topan, C Yılmaz-Asan, N Ersu","doi":"10.4317/medoral.26167","DOIUrl":null,"url":null,"abstract":"<p><strong>Background: </strong>Although Le Fort I surgeries are safe and successful procedures; nasolacrimal duct injuries may be observed due to these surgeries. The study aimed to investigate the prevalence of nasolacrimal duct injury in Le Fort I osteotomy patients.</p><p><strong>Material and methods: </strong>The authors conducted a retrospective cohort study consisting of patients who underwent Le Fort I osteotomies between 2017 and 2021 in the Erciyes University Faculty of Dentistry. The primary predictor variables were the distance of the nasolacrimal canal to the outer cortex of the maxilla and the nasal floor, as well as the superior-inferior level of the superiorly positioned screw inserted in the maxilla aperture region relative to the nasolacrimal canal. The outcome variable was the presence of a nasolacrimal duct injury. Mann Whitney U test was used for quantitative variables between the two groups. A Pearson chi-squared analysis was used to compare categorical data. A p-value <0.05 was considered statistically significant.</p><p><strong>Results: </strong>A total of 290 nasolacrimal canals were evaluated in 145 patients, 87 females, and 58 males. The mean age was 23.47± 6.67. There was a statistically significant relationship between screw level and nasolacrimal canal perforation (p<0,001). The distance between the most anterior border of the nasolacrimal canal and the outer cortical of the maxilla was significantly less in the perforation group (p<0,001). The fixation screw was significantly closer to the nasolacrimal canal in the perforation group (p<0,001).</p><p><strong>Conclusions: </strong>In Le Fort I surgery, nasolacrimal duct injury may occur during screw fixation to the aperture region. Superiorly positioned fixation screws in the aperture region may damage the nasolacrimal canal. In patients where the nasolacrimal canal is close to the outer cortex, care should be taken when applying the fixation screws to the aperture region to avoid damaging the canal.</p>","PeriodicalId":18351,"journal":{"name":"Medicina oral, patologia oral y cirugia bucal","volume":" ","pages":"e187-e194"},"PeriodicalIF":2.1000,"publicationDate":"2024-03-01","publicationTypes":"Journal Article","fieldsOfStudy":null,"isOpenAccess":false,"openAccessPdf":"https://www.ncbi.nlm.nih.gov/pmc/articles/PMC10945873/pdf/","citationCount":"0","resultStr":null,"platform":"Semanticscholar","paperid":null,"PeriodicalName":"Medicina oral, patologia oral y cirugia bucal","FirstCategoryId":"3","ListUrlMain":"https://doi.org/10.4317/medoral.26167","RegionNum":3,"RegionCategory":"医学","ArticlePicture":[],"TitleCN":null,"AbstractTextCN":null,"PMCID":null,"EPubDate":"","PubModel":"","JCR":"","JCRName":"","Score":null,"Total":0}
引用次数: 0

Abstract

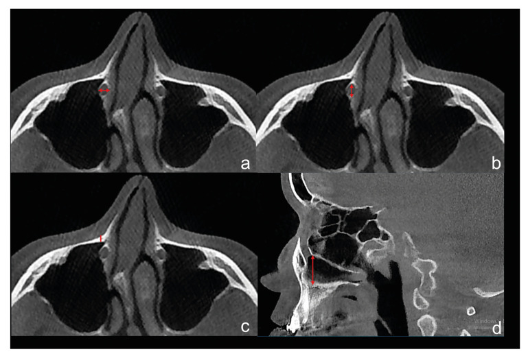
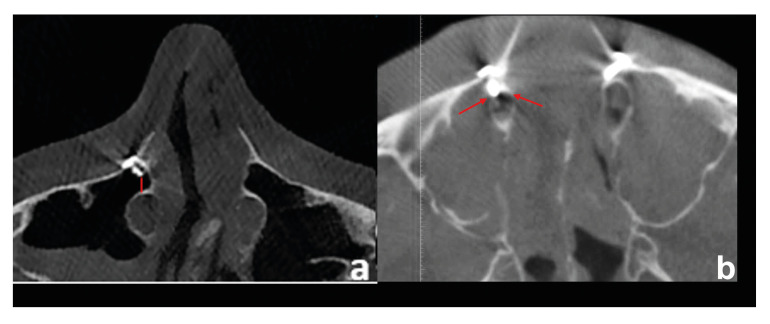
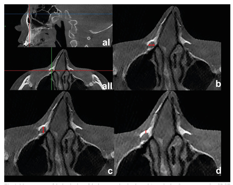
Background: Although Le Fort I surgeries are safe and successful procedures; nasolacrimal duct injuries may be observed due to these surgeries. The study aimed to investigate the prevalence of nasolacrimal duct injury in Le Fort I osteotomy patients.

Material and methods: The authors conducted a retrospective cohort study consisting of patients who underwent Le Fort I osteotomies between 2017 and 2021 in the Erciyes University Faculty of Dentistry. The primary predictor variables were the distance of the nasolacrimal canal to the outer cortex of the maxilla and the nasal floor, as well as the superior-inferior level of the superiorly positioned screw inserted in the maxilla aperture region relative to the nasolacrimal canal. The outcome variable was the presence of a nasolacrimal duct injury. Mann Whitney U test was used for quantitative variables between the two groups. A Pearson chi-squared analysis was used to compare categorical data. A p-value <0.05 was considered statistically significant.

Results: A total of 290 nasolacrimal canals were evaluated in 145 patients, 87 females, and 58 males. The mean age was 23.47± 6.67. There was a statistically significant relationship between screw level and nasolacrimal canal perforation (p<0,001). The distance between the most anterior border of the nasolacrimal canal and the outer cortical of the maxilla was significantly less in the perforation group (p<0,001). The fixation screw was significantly closer to the nasolacrimal canal in the perforation group (p<0,001).

Conclusions: In Le Fort I surgery, nasolacrimal duct injury may occur during screw fixation to the aperture region. Superiorly positioned fixation screws in the aperture region may damage the nasolacrimal canal. In patients where the nasolacrimal canal is close to the outer cortex, care should be taken when applying the fixation screws to the aperture region to avoid damaging the canal.

Abstract Image

Abstract Image

Abstract Image

评估 Le Fort I 截骨术患者的鼻泪管损伤。
背景:尽管 Le Fort I 截骨手术是安全且成功的手术,但仍有可能发生鼻泪管损伤。本研究旨在调查 Le Fort I 截骨术患者鼻泪管损伤的发生率:作者开展了一项回顾性队列研究,研究对象包括2017年至2021年间在埃尔希耶斯大学牙科学院接受Le Fort I截骨术的患者。主要预测变量是鼻泪管到上颌骨外皮质和鼻底的距离,以及插入上颌骨孔区的上位螺钉相对于鼻泪管的上下水平。结果变量为是否出现鼻泪管损伤。两组之间的定量变量采用曼-惠特尼U检验。皮尔逊卡方分析用于比较分类数据。A p值 结果:共对 145 名患者的 290 个鼻泪管进行了评估,其中女性 87 人,男性 58 人。平均年龄为 23.47±6.67 岁。螺钉水平与鼻泪管穿孔之间存在统计学意义上的显著关系(p 结论:在 Le Fort I 手术中,将螺钉固定在孔区时可能会造成鼻泪管损伤。在孔区位置靠上的固定螺钉可能会损伤鼻泪管。对于鼻泪管靠近外皮层的患者,在孔区使用固定螺钉时应小心谨慎,避免损伤鼻泪管。
本文章由计算机程序翻译,如有差异,请以英文原文为准。
求助全文
约1分钟内获得全文 求助全文
来源期刊
CiteScore
4.50
自引率
0.00%
发文量
52
期刊介绍: 1. Oral Medicine and Pathology: Clinicopathological as well as medical or surgical management aspects of diseases affecting oral mucosa, salivary glands, maxillary bones, as well as orofacial neurological disorders, and systemic conditions with an impact on the oral cavity. 2. Oral Surgery: Surgical management aspects of diseases affecting oral mucosa, salivary glands, maxillary bones, teeth, implants, oral surgical procedures. Surgical management of diseases affecting head and neck areas. 3. Medically compromised patients in Dentistry: Articles discussing medical problems in Odontology will also be included, with a special focus on the clinico-odontological management of medically compromised patients, and considerations regarding high-risk or disabled patients. 4. Implantology 5. Periodontology
×
引用
GB/T 7714-2015
复制
MLA
复制
APA
复制
导出至
BibTeX EndNote RefMan NoteFirst NoteExpress
×
提示
您的信息不完整,为了账户安全,请先补充。
现在去补充
×
提示
您因"违规操作"
具体请查看互助需知
我知道了
×
提示
确定
请完成安全验证×
copy
已复制链接
快去分享给好友吧!
我知道了
右上角分享
点击右上角分享
0
联系我们:info@booksci.cn Book学术提供免费学术资源搜索服务,方便国内外学者检索中英文文献。致力于提供最便捷和优质的服务体验。 Copyright © 2023 布克学术 All rights reserved.
京ICP备2023020795号-1
ghs 京公网安备 11010802042870号
Book学术文献互助
Book学术文献互助群
群 号:604180095
Book学术官方微信