Initial description of the novel handheld wireless ultrasound device TE Air with Doppler and Color Duplex imaging.

IF 2.1 4区 医学 Q3 HEMATOLOGY
Ernst Michael Jung, Friedrich Jung, Yi Dong, Ulrich Kaiser
{"title":"Initial description of the novel handheld wireless ultrasound device TE Air with Doppler and Color Duplex imaging.","authors":"Ernst Michael Jung, Friedrich Jung, Yi Dong, Ulrich Kaiser","doi":"10.3233/CH-238100","DOIUrl":null,"url":null,"abstract":"<p><strong>Objective: </strong>To test and initially describe a new handheld wireless ultrasound technique (TE Air) for clinical use.</p><p><strong>Methods: </strong>In this pilot study, the new ultrasound device TE Air from Mindray was used to examine the hepatic and renal vessels of healthy volunteers for first impressions. The probe has a sector transducer with a frequency range of 1.8-4.5 MHz. The B-mode and color-coded doppler sonography (CCDS) scanning methods were used. A high-end device from the same company (Resona 9, Mindray) was used as a reference. The results were evaluated using an image rating scale ranging from 0 to 5, with 0 indicating not assessable and 5 indicating without limitations.</p><p><strong>Results: </strong>Altogether, 61 participants (n = 34 female [55.7%], n = 27 male [44.3%]), age range 18-83 years, mean age 37.9±16.5 years) could be adequately studied using TE AIR and the high-end device. With one exception, the image quality score for TE Air never fell below 3 and had a mean/median scored of 4.97/5.00 for the B-mode, 4.92/5.00 for the color flow (CF) mode, and 4.89/5.00 for the pulse wave (PW) mode of the hepatic vein, 4.90/5.00 for the portal vein, 4.11/4.00 for the hepatic artery, and 4.57/5.00 for the renal segmental artery. A significant difference in the assessment of flow measurement of the hepatic artery and renal segmental arteries was found between TE AIR and the high-end device.</p><p><strong>Conclusions: </strong>TE Air represents a new dimension in point-of-care ultrasound via wireless handheld devices. Especially, its flow measurement ability offers a relevant advantage over other available handheld models. TE Air provides a formally sufficient image quality in terms of diagnostic significance.</p>","PeriodicalId":10425,"journal":{"name":"Clinical hemorheology and microcirculation","volume":" ","pages":"89-97"},"PeriodicalIF":2.1000,"publicationDate":"2024-01-01","publicationTypes":"Journal Article","fieldsOfStudy":null,"isOpenAccess":false,"openAccessPdf":"https://www.ncbi.nlm.nih.gov/pmc/articles/PMC10894582/pdf/","citationCount":"0","resultStr":null,"platform":"Semanticscholar","paperid":null,"PeriodicalName":"Clinical hemorheology and microcirculation","FirstCategoryId":"3","ListUrlMain":"https://doi.org/10.3233/CH-238100","RegionNum":4,"RegionCategory":"医学","ArticlePicture":[],"TitleCN":null,"AbstractTextCN":null,"PMCID":null,"EPubDate":"","PubModel":"","JCR":"Q3","JCRName":"HEMATOLOGY","Score":null,"Total":0}
引用次数: 0

Abstract

Objective: To test and initially describe a new handheld wireless ultrasound technique (TE Air) for clinical use.

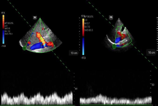
Methods: In this pilot study, the new ultrasound device TE Air from Mindray was used to examine the hepatic and renal vessels of healthy volunteers for first impressions. The probe has a sector transducer with a frequency range of 1.8-4.5 MHz. The B-mode and color-coded doppler sonography (CCDS) scanning methods were used. A high-end device from the same company (Resona 9, Mindray) was used as a reference. The results were evaluated using an image rating scale ranging from 0 to 5, with 0 indicating not assessable and 5 indicating without limitations.

Results: Altogether, 61 participants (n = 34 female [55.7%], n = 27 male [44.3%]), age range 18-83 years, mean age 37.9±16.5 years) could be adequately studied using TE AIR and the high-end device. With one exception, the image quality score for TE Air never fell below 3 and had a mean/median scored of 4.97/5.00 for the B-mode, 4.92/5.00 for the color flow (CF) mode, and 4.89/5.00 for the pulse wave (PW) mode of the hepatic vein, 4.90/5.00 for the portal vein, 4.11/4.00 for the hepatic artery, and 4.57/5.00 for the renal segmental artery. A significant difference in the assessment of flow measurement of the hepatic artery and renal segmental arteries was found between TE AIR and the high-end device.

Conclusions: TE Air represents a new dimension in point-of-care ultrasound via wireless handheld devices. Especially, its flow measurement ability offers a relevant advantage over other available handheld models. TE Air provides a formally sufficient image quality in terms of diagnostic significance.

Abstract Image

Abstract Image

Abstract Image

具有多普勒和彩色双工成像的新型手持式无线超声设备TE Air的初步描述。
目的:测试并初步描述一种新的用于临床的手持式无线超声技术(TE Air)。方法:在这项初步研究中,使用迈瑞公司的新型超声设备TE Air对健康志愿者的肝肾血管进行第一印象检查。探头具有一个频率范围为1.8-4.5 MHz的扇形换能器。采用B型和彩色多普勒超声(CCDS)扫描方法。同一家公司的高端设备(Resona 9,迈瑞)被用作参考。使用范围从0到5的图像评级量表来评估结果,0表示不可评估,5表示没有限制。结果:共有61名参与者(n = 女性34例[55.7%] = 27名男性[44.3%]),年龄范围18-83岁,平均年龄37.9±16.5岁)可以使用TE AIR和高端设备进行充分研究。除了一个例外,TE Air的图像质量分数从未低于3,并且B模式的平均/中值分数为4.97/5.00,色流(CF)模式的平均值/中值得分为4.92/5.00,肝静脉的脉搏波(PW)模式的图像质量得分为4.89/5.00,门静脉的图像质量分为4.90/5.00,肝脏动脉为4.11/4.00,肾节段动脉为4.57/5.00。TE AIR和高端设备在评估肝动脉和肾节段动脉的流量测量方面存在显著差异。结论:TE Air通过无线手持设备代表了护理点超声的一个新维度。特别是,与其他可用的手持机型相比,其流量测量能力具有相关优势。TE Air在诊断意义方面提供了形式上足够的图像质量。
本文章由计算机程序翻译,如有差异,请以英文原文为准。
求助全文
约1分钟内获得全文 求助全文
来源期刊
CiteScore
4.30
自引率
33.30%
发文量
170
期刊介绍: Clinical Hemorheology and Microcirculation, a peer-reviewed international scientific journal, serves as an aid to understanding the flow properties of blood and the relationship to normal and abnormal physiology. The rapidly expanding science of hemorheology concerns blood, its components and the blood vessels with which blood interacts. It includes perihemorheology, i.e., the rheology of fluid and structures in the perivascular and interstitial spaces as well as the lymphatic system. The clinical aspects include pathogenesis, symptomatology and diagnostic methods, and the fields of prophylaxis and therapy in all branches of medicine and surgery, pharmacology and drug research. The endeavour of the Editors-in-Chief and publishers of Clinical Hemorheology and Microcirculation is to bring together contributions from those working in various fields related to blood flow all over the world. The editors of Clinical Hemorheology and Microcirculation are from those countries in Europe, Asia, Australia and America where appreciable work in clinical hemorheology and microcirculation is being carried out. Each editor takes responsibility to decide on the acceptance of a manuscript. He is required to have the manuscript appraised by two referees and may be one of them himself. The executive editorial office, to which the manuscripts have been submitted, is responsible for rapid handling of the reviewing process. Clinical Hemorheology and Microcirculation accepts original papers, brief communications, mini-reports and letters to the Editors-in-Chief. Review articles, providing general views and new insights into related subjects, are regularly invited by the Editors-in-Chief. Proceedings of international and national conferences on clinical hemorheology (in original form or as abstracts) complete the range of editorial features.
×
引用
GB/T 7714-2015
复制
MLA
复制
APA
复制
导出至
BibTeX EndNote RefMan NoteFirst NoteExpress
×
提示
您的信息不完整,为了账户安全,请先补充。
现在去补充
×
提示
您因"违规操作"
具体请查看互助需知
我知道了
×
提示
确定
请完成安全验证×
copy
已复制链接
快去分享给好友吧!
我知道了
右上角分享
点击右上角分享
0
联系我们:info@booksci.cn Book学术提供免费学术资源搜索服务,方便国内外学者检索中英文文献。致力于提供最便捷和优质的服务体验。 Copyright © 2023 布克学术 All rights reserved.
京ICP备2023020795号-1
ghs 京公网安备 11010802042870号
Book学术文献互助
Book学术文献互助群
群 号:604180095
Book学术官方微信